レジン治療の流れ

「無料カウンセリング」
「デンタルドック」「診断・治療計画説明」
治療についてご説明した後、患者さんの同意を得てから治療を開始します。

「印象取得(型取り)」「詰め物の除去」
古い詰め物(銀歯など)を取り外します。

ラバーダム(ゴム製のカバー)をします。マイクロスコーブを見ながら専用のバーを使って虫歯を丁寧に取っていきます。
マイクロスコーブを見ながら、最後は手専用のヘラを使い、虫歯を取りきります。
レジンによるダイレクトボンディングを開始します。レジンの築成後にラバーダムを外します。
レジンのバリなどを取りながら、噛み合わせの違和感を確認します。その後、レジンの彫り込みと磨きこみで自然に仕上げます。最終的に患者さんご自身で仕上がりを確認いただきます。
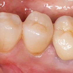
ダイレクトボンディングの症例紹介
審美歯科ではセラミックによる被せ物をイメージする方が多いと思いますが、名取歯科医院ではすべての治療おいて、より身体の負担少なく費用のが安いものを最初の選択肢として患者さんに提案します。安易に歯を削ったり抜歯をして白い歯を復元することは、名取歯科医院では致しません。健康な歯をできるだけ削らない、神経はできるだけ取らない、歯をできるだけ抜かずにできる治療を最初に選択します。そのため審美歯科においてもステップバイステップで考えます。





