歯をできるだけ削らない審美歯科治療
審美歯科ではセラミックによる被せ物をイメージする方が多いと思いますが、名取歯科医院ではすべての治療おいて、より身体の負担少なく費用のが安いものを最初の選択肢として患者さんに提案します。安易に歯を削ったり抜歯をして白い歯を復元することは、名取歯科医院では致しません。健康な歯をできるだけ削らない、神経はできるだけ取らない、歯をできるだけ抜かずにできる治療を最初に選択します。そのため審美歯科においてもステップバイステップで考えます。
審美とは本来「自然や美術などのもつ本当の美しさを的確に見極めること」と言います。私たちは1本の歯の治療を通して、あなたが持つ本当の自然な笑顔を患者さんと一緒に叶えたいと思っています。これが名取歯科医院の審美治療です。

1日で治療が終わる審美歯科(レジン)
アクセサリー作りがお好きな方はレジンという言葉を聞いたことがあるかも知れません。基本的にはハンドクラフトで使うものの仲間ですが歯科用はコンボジットレジンというレジンにフィラー(微粉末の配合)が混ぜられた特別なものです。虫歯を取った歯の穴を埋めて審美性の高い治療をすることをコンポジットレジン充填と呼びます。
レジンは最初柔らかいペースト状で自由に形をつくることができます。ペーストに紫外線を当てることで固まる光重合型のものと、ペースト同士を混ぜ合わせて固まる化学重合型という種類があり、患者さんの治療箇所によって使い分けていきます。被せ物や詰め物のように型取りも必要なく、虫歯だけけずり健康な歯を残した治療ができるため、患者さんに大きなメリットがあります。
ダイレクトボンディング
歯科用レジンに限らずレジンは固まると縮む特性があります。そのため丁寧に虫歯を取ったら、何回かにわけて歯に直接レジンを盛りつけます。複数回に分けるのは縮み防止だけでなく天然の歯は複数の「層」でつくられています。その光の屈折によって色調や透明感を私たちは感じています。レジンによる審美歯科ではその「層」も再現して治療します。そのために材質や特性の異なるレジンを盛りつけて固めることを繰り返します。この治療法をレジンによるダイレクトボンディング(築盛)といいます。
名取歯科医院では、現在2種類のレジンを使用しています。2017年春に国内での販売が開始された「GC エッセンシア」とコンポジットレジンの定番ともいえる「3M シュープリーム」です。ともに紫外線を使う光重合型タイプのレジンです。患者さんの歯の状態によってそれぞれを使い分け治療しています。
GC エッセンシア
2017年に国内発売された新しいコンポジットレジンです。天然歯は象牙質とエナメル質でできています。その構造にあわせてレジンを重ねることで見た目に自然な歯をつくります。

3M シュープリーム
定番コンポジットレジンで、シリカやジルコニアがナノサイズで配合(フィラー)されています。実に12種類の色調が用意されて、天然歯と遜色のない審美性をつくります。

コンポジットレジンの特徴
かつての歯科用レジンはヘラのようなもので形をと整えて、固めては盛ってを繰り返していました。現在主流となっているコンポジットレジンは、ナノサイズのシリカやセラミックが配合(フィラー)されていて固めたあとに磨き込み(ポリッシュ)や、臼歯などの場合は削り込んで形をつくる場合もあります。正確には単に削るというよりは、彫刻(スカルプチャ)して製作します。
このようなことが出来るようになったのも配合物(フィラー)の進化のおかげで、見た目の自然さだけでなくしなやかさと強さだったり天然歯やセラミック同様に汚れのつきにくさ(清掃性の高さ)など両立できるようになりました。
治療に型どり不要で早い方では1日で白く美しい歯にできるコンポジットレジンですが、決してセラミックの被せ物(クラウン)に劣るものではなく健康な歯を余分に削る必用がないという点では、反対に優れているという側面もあります。ただし通常は技工所に依頼してつくる被せ物(クラウン)などと違い、レジンによる治療(築成)は一貫した治療としてドクターがおこないます。そのため治療かるドクターの知識と経験、何よりその技術で仕上がりが大きく左右される点に注意してクリニックを選んでください。

レジンによるダイレクトボンディング治療費
レジン修復治療
| 奥歯 | ¥44,000〜¥66,000 |
| 前歯 | ¥44,000〜¥66,000 |
| 治療半年以降の研磨のみの場合 | ¥5,500 |
※大きさと難易度によって変わります。
一般処置
| 金属の除去(インレーやクラウン) | ¥11,000 |
| 土台(コア)金属除去 | ¥33,000 |
| 土台(コア)作製 | ¥33,000 |
| MTA処置(神経の保護や一部歯の破折修理) | ¥33,000 |
| 仮歯 | ¥6,600 |
※お支払いは現金、クレジットカード、デンタルローンがお選び頂けます。
※治療費は、治療期間と同様に個人差があります。まずはお気軽にご相談ください。
※終了後のメンテナンス料は別途頂いております。
ダイレクトボンディング 関連動画
ダイレクトボンディング・歯を削らない審美歯科 #1
ダイレクトボンディング・歯を削らない審美歯科 #2
ダイレクトボンディング・歯を削らない審美歯科 #3
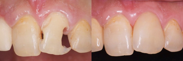
ダイレクトボンディングの症例紹介
審美歯科ではセラミックによる被せ物をイメージする方が多いと思いますが、名取歯科医院ではすべての治療おいて、より身体の負担少なく費用のが安いものを最初の選択肢として患者さんに提案します。安易に歯を削ったり抜歯をして白い歯を復元することは、名取歯科医院では致しません。健康な歯をできるだけ削らない、神経はできるだけ取らない、歯をできるだけ抜かずにできる治療を最初に選択します。そのため審美歯科においてもステップバイステップで考えます。





