この患者さんは50代の男性で、若い時から様々な歯科治療をなさり、それに伴って抜歯をされたり、咬めなくなったそうです。そのなかで徐々に咬む位置がが分からなくなってきたとい言うお悩みで名取歯科医院にご来院されました。 全顎的に複数の治療部位で、インプラント・ブリッジ・ダイレクトボンディング・セラミッククラウンなど、適切な治療方法を組み合わせて包括的な治療を終え顎関節症の改善と咬めないという永きにわたるお悩みを解消しました。
治療ステップ
検査

顎関節の精密検査を行うと顎の状態も左右で異なり、咬み合わせもズレが大きくなったことで歯が欠けるなど、不調の理由がわかりました。



現状と治療計画
顎関節の軟骨(関節円板)がずれ、それに伴って咬み合わせが変化しても当時の歯科医師が適切な咬み合わせ(咬合調整)しなかったため、そのストレスが長年にわたり顎関節に影響し、痛みを生じてきたと検査から考えられました。
精密検査の中で「T-scan」という咬み合わせの専用の機械を使って診断すると、奥歯以外ではしっかり咬む箇所がなく、明らかに咬み合わせのバランスが良くありません。


治療
全顎的に複数の治療部位で、インプラント・ブリッジ・ダイレクトボンディング・セラミッククラウンなど、適切な治療方法を組み合わせて包括的な治療を進めました。




治療を終えた「T-scan」による咬合調整後の患者さんの感想を伺うと「とても良く咬め、インプラントが入っていても全く違和感を感じない」という事でした。このようにデジタルで計測される客観的なデータと患者さんこそが一番感じるご自身からの体の声を一体化させる治療が大切です。

この「T-scan」はインプラント治療にも応用できる点が他の計測装置との違いの一つです。「I-24」と表示されているのはインプラントが埋入されている表記で、そこに他の歯と同じ力が掛かっている事を示しています。これは通常のリボン紙(咬合紙)では全くわかりません。このように天然歯、補綴歯、インプラント治療歯の力の違いを把握すれば、インプラントに掛かる力による治療後のトラブルを回避出来ると考えます。
このようにデジタル技術を適切に活用することで、患者さんのメンテナンスに役に立てることができます。

治療後





治療費
| インプラント手術 | ¥260,000 | 3 | ¥780,000 |
| インプラント上部構造体 | ¥400,000 | 3 | ¥1,200,000 |
| ダイレクトボンディング | ¥60,000 | 3 | ¥180,000 |
| ジルコニアセラミッククラウン | ¥200,000 | 11 | ¥2,200,000 |
| 咬合治療(Tスキャン、DTRセラピー) | ¥330,000 | – | ¥330,000 |
| 合計 | ¥4,750,000 | ||
紹介した治療内容
- ダイレクトボンディング・歯を削らない審美歯科 #1
- ダイレクトボンディング・歯を削らない審美歯科 #2
- ダイレクトボンディング・歯を削らない審美歯科 #3
- インプラント
- インプラント治療のよくある質問
- T-スキャン(デジタル咬合検査)
- DTRセラピーとは
- 顎関節症のデジタル咬合調整治療
- 顎関節症治療 (噛み合わせ治療)
症例紹介について
治療費について
すべての治療が保険外診療となります。価格と税率は治療当時のものとなります。治療前にデンタルドック(55,000円)が必要です。
治療リスクについて
治療中に一時的な咬合痛や冷温水痛、若干の歯肉の腫れ、発赤などを生じることがあります。また仮歯の時期には仮歯の脱離や破損の可能性、舌感などに違和感を感じることがありますが、本歯に移行するまでに通常消失します。
※すべて症例による違いや個人差があります。
掲載写真について
すべて名取歯科医院での臨床写真で、見た目を変える画像加工は行っておりません。またメーカーや学会誌からの転用はございません。掲載写真は実際に治療を行った患者さんの同意を得て、治療を検討する方への情報提供と啓発を目的として公開しています。
噛み合わせと定期検診について
審美治療の終了後は、必ず定期検診をお受け頂きます。これは顎関節を含む噛み合わせの安定を出来るだけ長期にわたって維持して頂くためです。噛み合わせの安定は治療箇所の長期予後(長持ちする治療)におして不可欠です。
メタルフリーとマイクロスコープについて
金属を使用しないセラミックス、ファイバー、レジンによるメタルフリーの審美修復治療です。マイクロスコープ(歯科用顕微鏡)を使った拡大視野による治療により修復物の適合性を高めることは虫歯や歯周病の再発抑止に有効です。



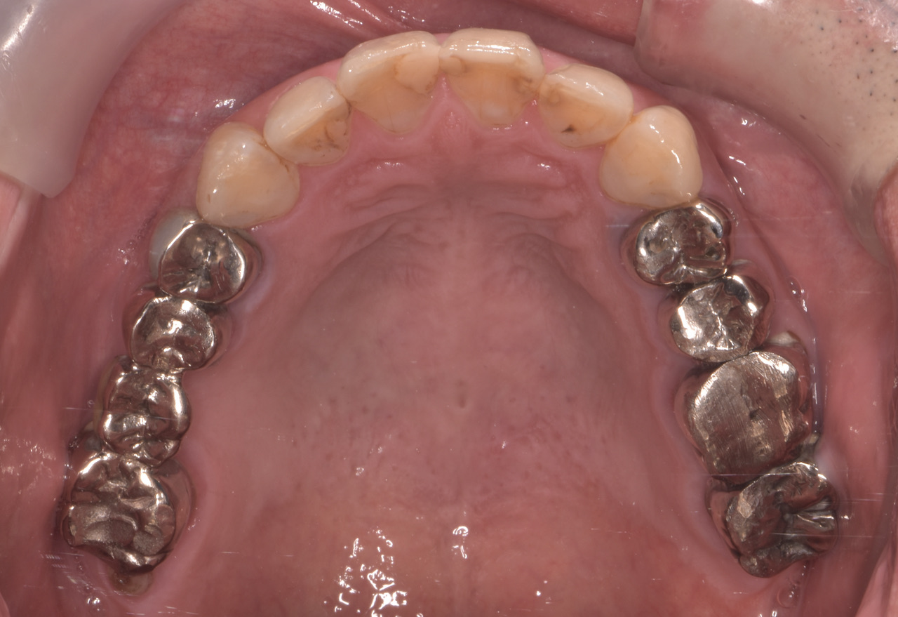
治療前
治療後
