全力で答えます
名取歯科医院まで
ご相談ください
歯科学会
療法学会
デンタルローン・クレジットカード利用可
宇都宮駅より車で5分
駐車場10台あり
デンタルローン・クレジットカード利用可
デンタルローン・クレジットカード利用可
宇都宮駅より車で5分
駐車場10台あり
当院ではできるだけ自身の歯を残すことを重視しています。自身の歯を残すということは、歯根膜の機能を残すことにも繋がります。この歯根膜は、噛んだときの衝撃を吸収するだけでなく、食べ物の硬さや柔らかさなどを感じ取る役割を持ちます。インプラントではこの歯根膜がないため、噛んだときの違和感などが生じやすいとされています。
当院の根管治療では可能な限り歯を残すことを大切にしていますが、あまりにも状態が悪い歯は、抜かざるを得ない可能性があります。歯を抜いた場合でも、それに合った治療をお届けいたしますのでご安心ください。抜歯の痛みが不安なかたにも、十分に配慮して治療を行います。
当院の精密根管治療は、原則3~4回での治療完了を目指します。治療が長引く原因の多くは、初期診断や感染源へのアプローチが不十分なことにあります。当院では、事前の診断を徹底し、治療の必要性が低い歯や破折歯は無理に残さず、適切な判断を行います。治療回数を抑えることで、通院の負担や時間的制約を減らし、再感染のリスク低下にも繋げています。初めての治療でも2回で終了するケースがあり、高い成功率を支えています。
歯を残せると判断した場合には、歯内療法へと進みます。当院の院長は、日本歯内療法学会や日本顕微鏡歯科学会に所属しており、精密根管治療の実績が豊富です。根管は複雑な構造になっているため、治療には高度な技術が必要となりますが、精密機器と院長の確かな技術をもって治療に臨みますのでご安心ください。
はじめまして、院長の名取健寿と申します。当院には、「どうしても自分の歯を残したい」「白く綺麗な歯でしっかり噛んで食事をしたい」という患者さんが、栃木県内はもちろん、東京を含む首都圏からも数多くご来院されています。
当院の提供する歯科治療は、「正しい噛み合わせ」を目標としています。どの歯科治療においても、ただ見た目を整えるだけではなく、お口全体を調和させることを大切にしています。正しい噛み合わせは、年齢を重ねても自分の歯を残すことに繋がり、いつまでも自分の歯で食事や会話を楽しむことができます。
当院は、患者さんの身体にできるだけ負担をかけない歯科治療を徹底しています。そのため、歯を削る範囲はできるだけ少なくし、自身の歯と神経を可能な限り残すように心がけています。歯科治療に関して不安があるかたは、ぜひ一度当院にお越しください。時間をかけて、じっくりと皆さんのお話を伺います。
歯科治療には痛みが伴うものだとお考えのかたもいらっしゃるかもしれませんが、当院ではできるだけ痛みを感じさせない治療を大切にしています。院長自身が、過去に受けた歯の神経治療で痛みを強く感じた経験があるため、患者さんの歯の神経治療は特に丁寧に行っております。神経を抜いた後も麻酔を行い、治療の最後まで痛みに配慮します。
従来の根管治療は、歯科医師の経験や技術をもとに行われる部分が多く、安定した治療結果を出すことが難しい場合もありました。しかし現在は、精密な検査を行い、安全で確実な治療を提供するために、先端設備を多く導入しております。マイクロスコープや歯科用CTにより患部を見やすくし、ラバーダム防湿により細菌感染対策を徹底しています。
根管は非常に細かく複雑な構造になっており、肉眼では十分に見えません。マイクロスコープは視野を最大20倍まで拡大させられるため、病変部位を正確に確認でき、削る歯の量をできるだけ少なくすることができます。
歯科用CTにより、歯や顎の3D画像を作成することができます。肉眼では見えない根管の構造をあらゆる方向から正確に映し出せるため、病変の大きさや原因を詳細に把握し、より精密な診断ができるようになります。
MTAセメントとは、歯の成分に含まれるカルシウムを主成分とした、殺菌効果の高い歯科用のセメントです。根管治療の仕上げで根管に充填することで、細菌の再感染リスクを抑えることができるうえに、細菌の侵入を防ぐことができます。
ラバーダム防湿は、治療部位以外をゴムの膜で覆うことで、唾液や歯の削りカスに含まれる菌が患部に触れないように防ぐ処置のことです。これにより、細菌感染リスクを抑えることができ、治療精度も上がります。

当院では、精密根管治療を行っても改善や治癒が見られない場合にのみ、歯根端切除術を行っています。歯根端切除術とは、歯ぐきを切開して、歯の根の先端の感染した部分を直接取り除く外科的治療のことです。治療後はある程度の痛みや腫れが生じることもありますが、この処置が成功すれば、歯を抜かずに残すことができる可能性が高まります。
当院ではできるだけ感染リスクを抑えるために、さまざまな感染対策を行っております。診療は個室で行い、患者さん同士がすれ違うことがないように、診療人数を1日6人までに限定しています。また、使い捨て製品を使用したり、口腔外バキュームを導入したりすることで唾液や粉じんの飛散を予防し、感染リスクを大幅に軽減させています。
院内での感染を防止するためには、医療従事者自身が徹底した感染予防を行うことが大切です北関東エリ。患者さんの血液や体液などに接触することを防ぐために、医療用ゴーグルやメディカルキャップ、医療用グローブを着用しております。また、受付時やコンサルティング時を含むあらゆる場面において、医療用マスクを着用するようにしています。

当院は宇都宮駅から車で5分の場所に位置しており、駐車場を10台ご用意しているため、車での来院が便利です。また、慈光寺バス停より徒歩4分なので、公共交通機関でもお越しいただけます。そして、土曜日午後や祝日診療(不定期)も行っているため、平日はお仕事などで忙しいかたでも通いやすい歯科医院です。
土曜午後診療
※祝日も不定期診療
駐車場10台あり
抜歯が必要か必要でないかの診断は難しく、判断を見誤ると治療が遅れる可能性もあります。当院は、残せる歯と残せない歯の見極めには自信があります。歯を残せる場合には、日本歯内療法学会・日本顕微鏡歯科学会に所属する院長による歯内療法治療に進みます。歯を残せない場合には、日本インプラント学会専門医によるインプラントなどの欠損治療を行うことを選択します。
根管治療では、できる限り歯を残すことを第一に考えますが、状態によっては保存が難しいケースもあります。その場合でも、治療が「抜歯で終わり」になることはありません。当院では、歯や顎の状態、将来的な噛み合わせ、患者さんのご希望を総合的に考慮し、インプラントやブリッジといった選択肢の中から、適切と考えられる治療方法をご提案しています。
歯の状態が悪く、精密根管治療では歯を残せないと判断した場合には、インプラント治療へと進みます。当院の院長は、インプラント学会専門医の資格も有しています。インプラントは手術が必要となるため不安を感じるかたもいらっしゃるかと思いますが、痛みには十分に配慮いたします。また、サージカルガイドなどのデジタル技術も活用して、安全性の高い手術を行います。

ブリッジとは、歯を失った部分の両隣にある歯を支えにして、失った歯を補う治療方法です。欠損した部分の歯の代わりとなる人工歯を橋(ブリッジ)のように架けることで、噛む機能や見た目の回復を目指します。取り外しの必要がなく、固定式のため違和感が少ないことが特徴です。比較的短い治療期間で機能回復が期待でき、保険診療にも対応しているケースがあります。一方で、支えとなる歯を削る必要があるため、適応についてはお口の状態をしっかり確認したうえで判断します。
精密根管治療とは、歯の根の中にある根管まで感染や炎症が及んでしまった場合に行われる治療法です。マイクロスコープや歯科用CTなどの精密機器を使用し、より高い精度で治療を行います。これにより、抜歯をせずに感染部位を取り除くことができます。無菌状態で治療を行うため、細菌感染のリスクを大幅に抑えることができます。
根管治療は、保険診療と自由診療いずれでも対応可能です。保険診療の場合は肉眼による治療を行いますが、自由診療ではマイクロスコープを用いて視野を拡大させて治療を進めます。どちらの治療でも基本的な感染対策は徹底しておりますので、ご安心ください。患者さんのご予算やご希望に応じて、適した治療法をご提案いたします。
| 保険診療 | 自由診療 | |
|---|---|---|
| 成功率 | 20%程度 | 80%程度 |
| 治療期間 | 15~20分程度 | 60分程度 |
| 視野 | 肉眼 | マイクロスコープ |
| 使用する器具 | 制限あり | 制限なし |
| 衛生環境 | 制限あり | ラバーダム防湿 |
| 薬剤 | 制限あり | 制限なし |

マイクロスコープは視野を約20倍に拡大させることができるため、肉眼やルーペでは十分に見えなかった病変部位をはっきり確認できます。そのため、むし歯の削り残しや、不必要な部分を削りすぎてしまうことを予防できます。当院で行っている「できるだけ歯を抜かない治療」のために、マイクロスコープは重要な役割を果たしています。
根管治療は病変部位を確実に除去することでむし歯の再発確率を下げることができますが、治療後の被せ物の素材選択によっても歯の生存率が大きく異なるといわれています。歯と被せ物の間にすき間や段差ができてしまうと、汚れや細菌が入り込みやすいため、再発リスクが上昇してしまいます。当院では、治療後の被せ物までこだわって治療を行います。
根管治療後の歯は、内部の神経や血管を取り除いているため、治療前に比べて脆くなりやすい状態です。そのため、治療が無事に終了した後も、定期的なメンテナンスを行わずに放置してしまうと、歯に細かなひびが入ったり、割れてしまったりするリスクがあります。また、噛み合わせの変化や再感染などが起こる可能性もあり、治療後の継続的な管理は欠かせません。
一方で、「できるだけ長く安定した状態を保ちたい」「再治療のリスクを極力抑えたい」とお考えのかたには、インプラント治療という選択肢もあります。インプラントは歯の根の代わりとなる構造を持つため、周囲の歯への負担を抑えながら、噛む機能の回復を目指すことが可能です。それぞれの治療には特性がありますので、お口の状態やライフスタイルに合わせて検討することが大切です。
治療をご検討中のかたは、お気軽にカウンセリングにお越しください。患者さんのプライバシーに十分配慮し、個室のカウンセリングルームにてお話を伺います。日本歯内療法学会などに所属する、精密根管治療の経験が豊富な院長が自らカウンセリングを担当いたします。
現在の歯の状態を正確に診断するために、歯科用CTなどの各種精密機器を用いて精密検査(デンタルドッグ)を行います。精密検査の結果をもとに診断を行い、どのように治療を進めていくべきか検討します。治療についてご説明した後、患者さんの同意を得てから治療を始めていきます。
治療を開始していきます。まずはマイクロスコープで視野を拡大して病変部位を正確に確認し、根管内で炎症を起こしている神経や血管を取り除き、綺麗に洗浄・殺菌します。治療中はラバーダム防湿などにより、細菌感染に十分注意して行われます。
根管治療で感染・炎症状態となった歯の神経を取り除いた後に、空洞になった根管内部に専用の薬剤を詰め、しっかりと密閉させます。これにより、細菌が再び繁殖するのを防ぐことができ、再感染リスクを抑えられます。歯を健康に長持ちさせるための重要な処置です。
歯の機能や見た目を改善させるために、被せ物を装着する土台を作ります。そして、患者さんの歯に適合する被せ物を作製するために型取りを行い、装着することで治療が完了します。当院では主にジルコニアセラミックの被せ物を使用しています。
根管治療が完了した後も、再発防止のためにマイクロスコープなどを用いて定期的に状態を確認いたします。その際に、歯が破折してしまっている場合には抜歯となります。他院では、破折していても歯を残そうとする場合もありますが、当院では基本的には抜歯することになりますので、あらかじめご了承ください。
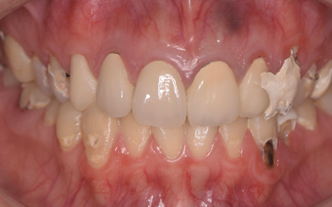
治療前

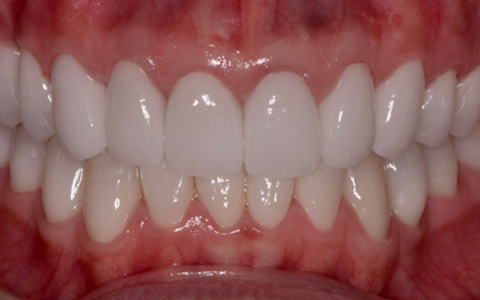
治療後



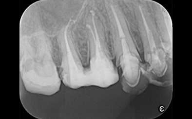
黄色い矢印の歯が治療前の対象歯です。レントゲンで観察すると、歯の根のお薬が充分には入っていないようです。



麻酔をして歯の中をマイクロスコープで観察すると、元々あった3つの根だけでなく「もう一つの4番目の根」があったのです。根管治療自体は容易に行えましたが、歯の中を明るく拡大できるマイクロスコープを持っていない歯医者さんでは見つけるのが困難だと思われます。この4つ目の歯の根を治療することにより痛みは消失し「抜歯してインプラント」になるという悪循環に陥らず済みました。根管治療はマイクロスコープを使って精密に、また丁寧に行えば歯を長く保たせることができる治療です。やはり神経自体を残すという選択が、歯の保存にとって一番良いということは間違いありません。
| 費用 | デンタルドック:55,000円 根管治療(奥歯):176,000円 MTAセメント:33,000円 歯の土台:33,000円 合計:297,000円 |
|---|---|
| リスク・副作用 | 治療中に一時的な咬合痛や冷温水痛、若干の歯肉の腫れ、発赤などを生じることがあります。また仮歯の時期には仮歯の脱離や破損の可能性、舌感などに違和感を覚えることがありますが、本歯に移行するまでに通常消失します。 ※すべて症例による違いや個人差があります。 |
※表示金額は全て税込みです。
治療前

治療後

治療前

治療後



なるべく歯を残して、歯の神経も可能な限り保存し残していく方向で治療方法を検討しました。むし歯が大きく神経が侵されている歯は、抜髄を行い、精密根管治療の後にセラミックスクラウンを被せる治療方法を策定しました。患者さんのご希望と了解を得て治療を開始しました。



むし歯治療では、丁寧にむし歯だけを除去して健全な歯質だけを残します。名取歯科医院では、ラバーダムとマイクロスコープの使用が標準です。歯の根と神経の治療(根管治療)も行っていきます。
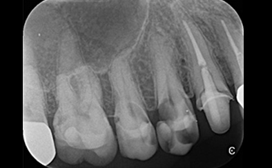
ラバーダムとはゴム製のシートで、治療する歯だけを露出させるように丁寧に切り取り、お口に装着します。唾液の中には天文学的な数の細菌が存在するため、一度治療した歯が再び悪化して再治療とならないためには、ラバーダムを装着し唾液や細菌に触れないように防湿を施した環境で治療することが何よりも大切で、歯科治療の基本です。歯の根元の黒い部分は膿の溜まった袋です。
むし歯が進行することで歯の神経まで細菌に侵されてしまった場合、昭和型の歯科治療では歯を抜いてしまう抜歯が当たり前でした。しかし、歯を抜いてしまうことで歯並びの乱れなど、ほかの歯への大きな影響があります。そこで自分の歯をできるだけ残すことを考えた「根管治療」や「保存治療」が選択されるようになってきました。



治療後の写真です。きちんと歯の根の治療(根管治療)を施すことで膿の袋も消失します。

歯ぐき(歯肉)の治療も大切です。歯ぐきを健康的な状態に治療していくことで、お口全体を審美的に優れた美しい状態に改善できます。このように歯ぐき(歯肉)の治療を行うことで、炎症を抑え、健康な状態をつくることができます。歯ぐきのコンディションを回復させると同時に、仮歯を入れます。しかしこれは治療中の隙間を埋めたり見た目を取り繕う「仮歯」とは異なります。プロビジョナルレストレーションと言い、最終的な歯(本歯)と同じ形体をもつ歯で、治療した歯や周囲の歯、反対側の歯、歯ぐきなどお口全体の回復と調和を整える大切な治療プロセスです。もちろんこの期間に仮歯での噛み合わせ、咀嚼や嚥下、または発音や発語など機能的な回復に不具合がないか、顎関節への影響や負担がないか検証する期間でもあります。



仮歯で機能回復の確認を行い、そしてさらに微調整を行います。機能的・審美的に改善を確認できた仮歯の形態を元にセラミックスクラウンを作製します。熟練した歯科技工士によるセラミックス制作を行い、装着後に最終的な微調整(咬合調整)を施し、むし歯治療、歯の根の神経治療(根管治療)、白いセラミックスによる修復治療のすべてが終了しました。
| 費用 | ジルコニアセラミック24本:5,280,000円 根管治療(小臼歯5本):770,000円 根管治療(前歯6本):792,000円 合計:6,842,000円 |
|---|---|
| リスク・副作用 | 治療中に一時的な咬合痛や冷温水痛、若干の歯肉の腫れ、発赤などを生じることがあります。また仮歯の時期には仮歯の脱離や破損の可能性、舌感などに違和感を覚えることがありますが、本歯に移行するまでに通常消失します。 ※すべて症例による違いや個人差があります。 |
※表示金額は全て税込みです。
治療前

治療後


写真の白丸部分に膿が溜まっていて痛みと腫れがあり、半年も続いているそうです。これを治療した歯科医師はこれで治らなかったら抜歯してインプラント治療という選択をしました。


歯の状況や、顎骨の状況、また、患者さんご自身からもできるだけ自分の歯を残したいというご希望だったので、精密根管治療を天然歯の保存を目的として計画しました。

まず、根管内のガッタパーチャ(根管充填材)を除去、さらにマイクロスコープによる拡大視野とラバーダム防湿法により丁寧に汚れを除去しました。根管内の感染源がなくなったことを確認したうえで、通常のガッタパーチャとシーラーでは緊密な根管充填ができないと診断し、患者さんに説明したうえでMTA (ProRoot MTA)を選択しました。

3回の治療を行った後、痛みと腫れ、また上の画像にあった丸印の膿の袋もなくなっています。ということは、インプラントせずにこの上にクラウンを被せて治療を終了することができます。
| 費用 | コア除去:22,000円 根管治療:132,000円 MTA根管充填:33,000円 合計:209,000円 |
|---|---|
| リスク・副作用 | 治療中に一時的な咬合痛や冷温水痛、若干の歯肉の腫れ、発赤などを生じることがあります。また仮歯の時期には仮歯の脱離や破損の可能性、舌感などに違和感を覚えることがありますが、本歯に移行するまでに通常消失します。 ※すべて症例による違いや個人差があります。 |
※表示金額は全て税込みです。
当院では、他院で治療を受けているかたや診断を受けたかたからの、セカンドオピニオンを受け付けています。精密根管治療の内容や治療期間、費用などに不安を感じた場合には、ぜひセカンドオピニオンをご利用ください。また当院では、正確な診査・診断を行うために、デンタルドッグを受けていただくことを推奨しています。お気軽にお問い合わせください。
他院では抜歯が必要と
言われた
他院で診断されたが
他の歯科医師の診断も
聞きたい
このまま治療を
続けてよいか
不安がある
当院の精密根管治療は、「できるだけ歯を抜かない」ことを重視しています。もし他院で抜歯が必要と診断された場合でも、当院では抜歯をせずに治療を行える可能性があります。自身の歯がどのような状態なのか気になるかたは、お気軽にご相談ください。さまざまな歯科医師の意見を聞いたうえで、どの治療法が自身に適しているのか検討してみてください。
| 精密検査 (デンタルドッグ) | 55,000円 |
|---|---|
| CT撮影 (治療中に必要な場合) | 11,000円 |
| 精密根管治療 | 前歯:132,000円 小臼歯:154,000円 大臼歯:176,000円 |
| 歯の根の中にある 破折片除去 | 33,000円 |
| 土台(コア)作製 | 33,000円 |
※表示金額は全て税込みです




1年間(1月1日~12月31日)で医療費を10万円以上支払った場合に、一定金額の所得控除を受けることができる制度が医療費控除です。ご自身のみならず、生計をともにするご家族の医療費も適用となります。詳しくは国税庁のホームページをご覧ください。
はじめまして、院長の名取健寿と申します。当院には、「どうしても自分の歯を残したい」「白く綺麗な歯でしっかり噛んで食事をしたい」という患者さんが、栃木県内はもちろん、東京を含む首都圏からも数多くご来院されています。
当院の提供する歯科治療は、「正しい噛み合わせ」を目標としています。どの歯科治療においても、ただ見た目を整えるだけではなく、お口全体を調和させることを大切にしています。正しい噛み合わせは、年齢を重ねても自分の歯を残すことに繋がり、いつまでも自分の歯で食事や会話を楽しむことができます。
当院は、患者さんの身体にできるだけ負担をかけない歯科治療を徹底しています。そのため、歯を削る範囲はできるだけ少なくし、自身の歯と神経を可能な限り残すように心がけています。歯科治療に関して不安があるかたは、ぜひ一度当院にお越しください。時間をかけて、じっくりと皆さんのお話を伺います。
1991年
日本歯科大学新潟歯学部 卒業
1993年
東京医科歯科大学研修医 修了
1993年
名取歯科医院に勤務
2003年
スウェーデンイエテボリ大学
顎顔面外科 留学
日本大学歯学部麻酔科研修
2008年
医療法人健明会 設立

| 診療時間 | 月 | 火 | 水 | 木 | 金 | 土 | 日 | 祝 |
|---|---|---|---|---|---|---|---|---|
| 8:30~12:30 | ● | ● | ● | ● | ● | ● | / | / |
| 13:30~17:30 | ● | ● | ● | ● | ● | ▲ | / | / |
休診日:日曜、祝日
▲:土曜の診療は~16:30までとなります。
精密根管治療は、通常の根管治療となにが違いますか?
精密根管治療は、マイクロスコープや歯科用CTを使用して、根管内部を約20倍の高倍率の視野で確認しながら治療を行う方法です。通常の根管治療では、肉眼で治療を行いますが、精密機器を使用することでさらに細かい根管や感染部位まで正確に把握することができます。そのため、感染部位の取り残しや再発リスクの軽減効果が期待できます。
マイクロスコープは、なぜ必要なのですか?
根管内部は非常に細かく、神経などが入り組んだ複雑な構造になっています。そのため、肉眼では内部構造や感染部位を正確に把握することは難しいです。マイクロスコープにより、数十倍に拡大した視野で治療を行うことが可能となり、見逃されやすい感染部位を確実に取り除くことができるようになります。精度の高い根管治療を行うには、マイクロスコープは重要です。
精密根管治療は、どのような症例に適していますか?
むし歯の再発を繰り返している歯、他院で抜歯が必要と診断された歯、歯の根の先にむし歯などの病変がある歯が適応です。マイクロスコープを使用して、病変部位を正確に把握しながら治療を行うため、健康な歯を削りすぎることなく、確実に病変部位を取り除くことができます。そのため、歯を温存できる可能性が高まります。
精密根管治療は、保険適用されますか?
精密根管治療ではマイクロスコープや歯科用CTを使用しますが、これらの精密機器は保険適用外となることが多いです。そのため、精密根管治療は、自由診療となるのが一般的です。保険治療と比較して治療費はかかりやすいですが、治療の精度や成功率は高く、将来的な再治療・抜歯リスクは抑えられるとされています。
治療中の痛みはありますか?
当院では、患者さんの身体の負担をできるだけ抑えるために、痛みには十分な配慮をいたします。治療中は麻酔を行いますので、治療中の痛みはほとんどありません。患者さんによっては、治療後の数日間は痛みや違和感が生じることがありますが、その場合は痛み止めの処方が可能です。痛みが気になる場合は、お気軽にご相談ください。