セラミック矯正は悪です
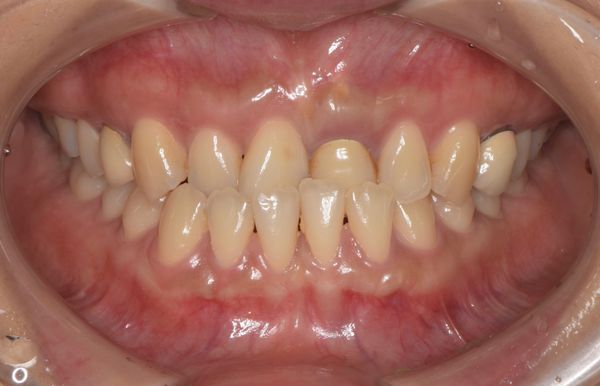
名取歯科院で治療を行った患者さんのお写真です。
上の画像は治療前で下の画像が治療後になります。


このような場合に、絶対にしてはいけない事は、前歯をいわゆる「セラミック矯正」といわれるセラミッククラウンの治療のみ歯並びの治療を済ませてしまうことです。
実は「セラミック矯正」というのは造語で、歯科矯正学に基づく治療法ではありません。
私たち歯科医師が矯正治療と呼ぶ治療は、ワイヤーやマウスピースなどを用いて歯やあごの骨に力をかけ、それらをゆっくりと動かすことで悪い歯並びや咬み合わせを整え、正しく機能的な咬み合わせを得る治療のことです。
これに対して私が見てきたセラミック矯正は、健康な歯を削ってセラミッククラウンを被せて歯並びを整えるという治療です。これでは見た目で歯の向きや並びを整えるだけで、顎骨に隠れている根の位置や向きという本来の歯並びを変えていないので咬み合わせ改善など、根本的な原因を解決できません。
このような治療では、あとあと別のトラブルになる可能性が過分にあります。
正しい全顎的な審美治療は、時間を惜しまずきちんと歯の正しい位置に揃えてから、セラミッククラウンを被せる方法です。名取歯科院でも、この患者さんには、まず矯正治療を提案・実施しセラミッククラウンを被せました。
正しい歯科治療をすれば、長く治療結果を保たせられ、歯科治療後にトラブルの起こる可能性は少なくなります。正しい診断に正しい治療方針が成功に繋がると名取歯科院では考えております。



