なぜ歯を抜くのか?
この写真は名取歯科医院で抜歯診断をした患者さんです。名取歯科医院では、歯をできるだけ削らず、神経を保存し、天然歯を残すことを一番に考えています。何故、抜歯という診断をしたのかお話しします。

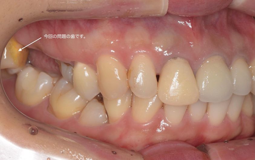
この患者さんは以前、他院で治療した前歯のセラミックが複数回破損したり、顎にも若干の痛みがあるなど、症状をお持ちでした。これは患者さんの噛み合わせに問題があるという示唆です。
この状態を改善するために名取歯科医院では、根本治療として矯正治療を提案しましたが、患者さんは矯正治療をお望みではありませんでした。そのためデンタルドック(歯の人間ドック)の診査診断から、この歯の抜歯提案を行いました。この治療方針は患者さんから了承を頂いていましたが、患者さんのご都合で抜歯は他院という事になりました。
しかし、患者さんが近隣の歯科医院を数件を訪れて当院での治療計画(抜歯)の旨を伝えた所、この歯は抜くべきではないとかブリッジにすれば良いとか話となり、最終的には、結局名取歯科医院で抜歯する事になりました。
もちろん、この歯だけを見れば抜くべきではないと判断も間違ってはいないかも知れません。しかし今までの複数回に及ぶ前歯部セラミックの破損、顎に現状抱えている痛み症状、他の歯に対する治療の安定性といったお口全体(一口腔内)を見た場合、名取歯科医院では抜歯判断をすることがあります。
歯科医師は、ただ「歯だけを見て」治療をすれば良いわけではありません。患者さんのお口の状態はお一人おひとり違います。一律に歯を削らない、歯を抜かない、という判断がすべてにおいて正義ではないという事を科学的にお伝えしたうえで、責任をもって診断と治療計画をお話しすることを名取歯科医院ではお約束します。



