この患者さんは長年、首都圏の顎関節専門医のもとに通院しておられたそうです。この専門医の治療は従来のスプリントによる顎関節症治療でした。しかし、治療期間が長くなっても全く改善の兆しが無いため、紹介にて名取歯科医院に来院されました。
治療ステップ

検査

この患者さんは長年、首都圏の顎関節専門医のもとに通院しておられたそうです。この専門医の治療は従来のスプリントによる顎関節症治療でした。しかし、治療期間が長くなっても全く改善の兆しが無いため、紹介にて名取歯科医院に来院されました。

現状と治療計画
顎関節症の患者さんには、デンタルドック(精密検査)を通して、MRI画像診断とデジタル咬み合わせ検査(T-Scan)を行って治療方針を決定致します。


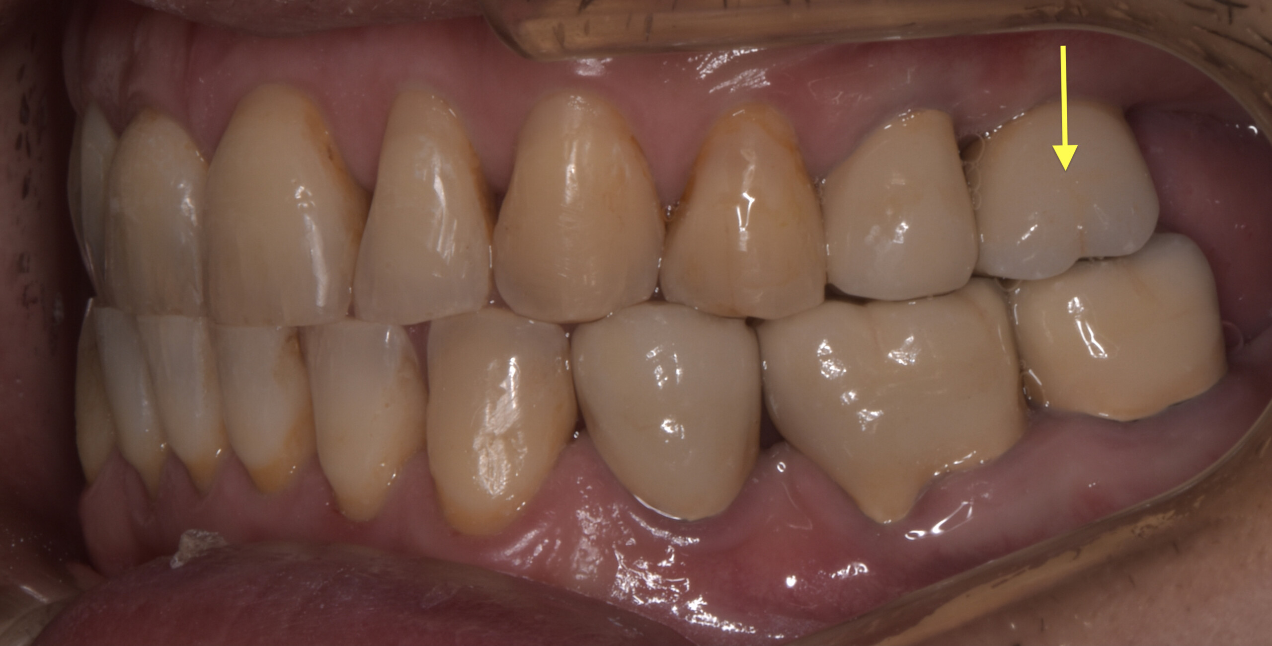
治療前画像の黄色い矢印の歯が非常に強く当たっていることが、デジタルによる画像からもわかります。そこでその歯を抜歯をすることで顎関節の症状が無くなるのではないか?という予測を立てました。



同時にこの歯は大きな虫歯が全く治療されていない事、また破折を起こしていたため結果的に抜歯という選択肢は、虫歯治療という側面からも整合性をもっています。

治療中



最終のクラウンをセットし咬み合わせのチェックをデジタル機器で行ったところ、患者さんが自覚できない当たりが左奧に見つかりました。黄色の矢印I-26です。
この赤マークが付いているという事はインプラントに負荷が掛かっているという証拠です。

治療後


抜歯後は私の予測通り、長年治らなかった顎関節の症状が全く消失しました。つまり今までの顎の痛みの原因は、咬み合わせが原因という事になります。
原因がわかり理解出来れば歯が無い箇所はインプラント治療を行い、精密な虫歯治療の後にセラミック治療を行って正しい咬み合わせを構築しました。
しかしMRI撮影で軟骨(黄色い矢印)がずれているのを確認していますので、やはり咬み合わせの長期安定を得るのは難しいと思われます。

T-Scanを使って咬み合わせの調整をしてすべての歯が均等に当たるように治療を致しました。この治療のように咬む力で問題が起こっている場合には、デジタル機器をきちんと用い、データを採りながら患者さんの咬んだ印象も参考にして治療を進めていくのは大切な事です。
治療費
| デンタルドック | ¥55,000 | 1 | ¥55,000 |
| T-scan デジタル咬合治療 | ¥330,000 | – | ¥330,000 |
| インプラント治療 | ¥260,000 | 3 | ¥780,000 |
| インプラント用セラミック | ¥440,000 | 3 | ¥1,320,000 |
| セラミッククラウン | ¥200,000 | 7 | ¥1,400,000 |
| 合計 | ¥3,885,000 | ||
紹介した治療内容
症例紹介について
治療費について
すべての治療が保険外診療となります。価格と税率は治療当時のものとなります。治療前にデンタルドック(55,000円)が必要です。
治療リスクについて
治療中に一時的な咬合痛や冷温水痛、若干の歯肉の腫れ、発赤などを生じることがあります。また仮歯の時期には仮歯の脱離や破損の可能性、舌感などに違和感を感じることがありますが、本歯に移行するまでに通常消失します。
※すべて症例による違いや個人差があります。
掲載写真について
すべて名取歯科医院での臨床写真で、見た目を変える画像加工は行っておりません。またメーカーや学会誌からの転用はございません。掲載写真は実際に治療を行った患者さんの同意を得て、治療を検討する方への情報提供と啓発を目的として公開しています。
噛み合わせと定期検診について
審美治療の終了後は、必ず定期検診をお受け頂きます。これは顎関節を含む噛み合わせの安定を出来るだけ長期にわたって維持して頂くためです。噛み合わせの安定は治療箇所の長期予後(長持ちする治療)におして不可欠です。
メタルフリーとマイクロスコープについて
金属を使用しないセラミックス、ファイバー、レジンによるメタルフリーの審美修復治療です。マイクロスコープ(歯科用顕微鏡)を使った拡大視野による治療により修復物の適合性を高めることは虫歯や歯周病の再発抑止に有効です。



治療前
治療後
