こちらは患者さんはご紹介で来院されました。 主訴として食事の際などに物が噛みずらく口唇を噛んでしまうということ、また顎が痛いとのことでした。また、審美改善をご希望されておられ、他の矯正専門医で抜歯と言われたが抜歯はしたくないとのことでした。名取歯科医院でデンタルドックによる精密検査の結果、非抜歯での矯正治療が可能と診断しました。マウスピース型矯正(インビザライン)で噛み合わせと歯並びを治療。保定後にDTR (噛み合わせ)治療を行いました。
治療ステップ

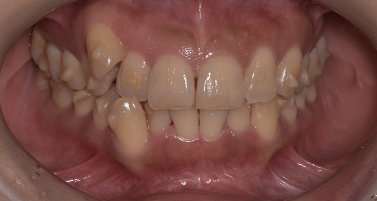
初診時



顎に歯が並ぶスペースが足りないことによって、特に上顎右3番の転位歯(本来の歯並びの位置からずれたところに生えてきてしまう歯)と、下顎2、3番の捻転が目立ちます。これにより不正咬合による顎関節への負担により主訴にありました顎の痛みに繋がっているものと考えられます。

現状と治療計画

他医院では抜歯を勧められたそうですが、デンタルドックによる精密検査の結果、臼歯の後方移動を行なうことで、スペースを確保できると診断しました。
固定源が点ではなく面として全周で力をかけられるマウスピース型矯正(インビザライン)は歯をお口の奥側(遠心)に動かしやすい特徴があります。非抜歯矯正では歯は大きな移動を伴わないため、マウスピース型矯正(インビザライン)の特性でもある傾斜移動で臼歯を後方移動(アップライト)させスペースを作りながら歯並びを整えます。
今回はマウスピース型矯正(インビザライン)を選択し約1年の動的期間、保定期間を経たのち、顎関節症治療とする治療計画をお伝えし治療がスタートしました。
<アタッチメント利用による臼歯部の移動



マウスピース型矯正(インビザライン)は簡単な矯正しか適応しないと思ってらっしゃる患者さんが多いのですが、現在はアタッチメントと呼ばれる部品を一時的に歯に接着して固定源とすることで、マウスピースでも複雑な3次元的コントロールが可能になりました。
写真に見えるのがアタッチメントで一般的に「ポッチ」と言われます。今回はこのアタッチメントによる3次元的な排列を行っています。

最終調整



約1年の動的期間が経過しました。ご覧のように上顎は理想的な歯列弓に沿って歯が並んでいます。大きく唇側にせり出していた上顎右2番の転位歯も正しい位置に排列しています。下顎も治療計画通りに進み、左下3番の捻転も移動が進んでいることがわかります。この後マウスピースの装着を続けて頂き、治療期間の終了後に約6ヶ月の保定期間となります。これは矯正治療で骨が再生(添加)された部分を安定させて後戻りをさせないために必要な期間です。
顎関節症の根本原因であった噛み合わせと歯並びをマウスピース型矯正で治療したのち、DTRセラピーによる咬合調整で顎関節症を治療し、1年数か月で治療を完了しました。
名取歯科医院ではデンタルドックと呼んでいますが、大切なのはどんな治療であっても診査診断と患者さんとのコミュニケーションです。
治療費
| 精密検査 | ||
| デンタルドック費用 | ¥55,000 | |
| 歯のクリーニング/PMTC | ¥11,000 | |
| 合計 | ¥66,000 | |
| インビザライン | |
| インビザライン フルセット (治療期間 12ヶ月) | ¥737,000 |
| 矯正検査費用 | ¥33,000 |
| 保定装置 | ¥66,000 |
| 合計 | ¥836,000 |
| デンタル咬合調整 | ||
| DTR Therapy (デジタル機器を用いた咬合調整法) ※本調整(チェック2回まで)・咬筋への筋弛緩作用のある製剤注射1回を含む |
¥198,000 | |
| 合計 | ¥198,000 | |
紹介した治療内容
症例紹介について
治療費について
すべての治療が保険外診療となります。価格と税率は治療当時のものとなります。治療前にデンタルドック(55,000円)が必要です。
治療リスクについて
治療中に一時的な咬合痛や冷温水痛、若干の歯肉の腫れ、発赤などを生じることがあります。また仮歯の時期には仮歯の脱離や破損の可能性、舌感などに違和感を感じることがありますが、本歯に移行するまでに通常消失します。
※すべて症例による違いや個人差があります。
掲載写真について
すべて名取歯科医院での臨床写真で、見た目を変える画像加工は行っておりません。またメーカーや学会誌からの転用はございません。掲載写真は実際に治療を行った患者さんの同意を得て、治療を検討する方への情報提供と啓発を目的として公開しています。
噛み合わせと定期検診について
審美治療の終了後は、必ず定期検診をお受け頂きます。これは顎関節を含む噛み合わせの安定を出来るだけ長期にわたって維持して頂くためです。噛み合わせの安定は治療箇所の長期予後(長持ちする治療)におして不可欠です。
メタルフリーとマイクロスコープについて
金属を使用しないセラミックス、ファイバー、レジンによるメタルフリーの審美修復治療です。マイクロスコープ(歯科用顕微鏡)を使った拡大視野による治療により修復物の適合性を高めることは虫歯や歯周病の再発抑止に有効です。



治療前
治療後
