患者さんは10代の女性で、口を開けると顎がカクカクして痛いとのことでご来院されました。顎関節症の根本原因になっている噛み合わせ(咬合)の観点から矯正治療は第一選択ですが、他医院では小臼歯4本の抜歯(4番4本抜歯)する矯正治療を勧められたそうです。 ただし歯科医師として、10代とお若い患者さんの健康な歯を安易に抜歯して矯正することに賛同できません。拝見すると確かに口腔内のスペースは少ないのですが、それが抜歯を選択する免罪符にはなりません。デンタルドックによる精密検査の結果、ご本人が強く希望されていた智歯(親知らず)も含めて非抜歯での矯正治療が可能と診断しました。マウスピース型矯正(インビザライン)で噛み合わせと歯並びを治療し、保定後にDTR(噛み合わせ)治療を行います。
治療ステップ

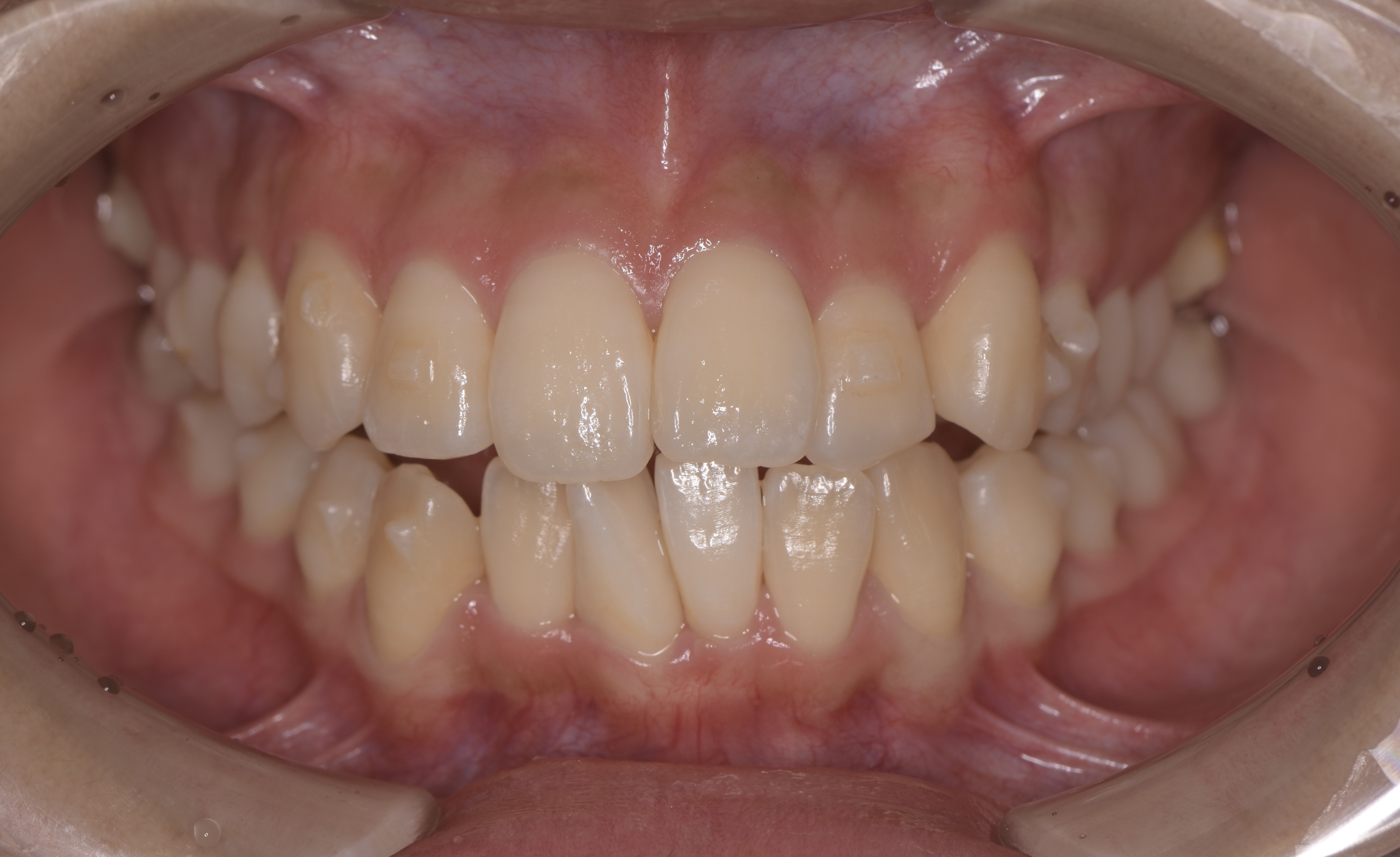
初診時



顎に歯が並ぶスペースが足りないことによって、特に上顎左2番の低位口蓋側転位と、下顎左1番の捻転が目立ちます。これにより前歯部叢生を伴った上顎前突と言われる状態で、不正咬合による顎関節への負担が主訴となっている顎の痛みに繋がっているものと考えられます。ただし目立つ虫歯(カリエス)もなく、健康な歯と歯ぐきを保ってらっしゃるデンタルIQの高い患者さんということがわかります。

現状と治療計画

主訴の顎関節症の根本治療として歯列矯正をご提案しました。他医院では小臼歯の抜歯(いわゆる4番4本抜歯)を勧められたそうですが、10代とお若く健康な状態の歯を安易に抜歯することは歯科医としてできません。デンタルドックによる精密検査の結果、臼歯の後方移動を行ないつつディスキング(歯の側面を極僅かに削る矯正手法)を併用することで排列するスペースを確保できると診断しました。
固定源が点ではなく面として全周で力をかけられるマウスピース型矯正(インビザライン)は歯をお口の奥側(遠心)に動かしやすい特徴があります。非抜歯矯正では歯は大きな移動を伴わないため、マウスピース型矯正(インビザライン)の特性でもある傾斜移動で臼歯を後方移動(アップライト)させスペースを作りながら歯並びを整えます。
この患者さんは智歯(親知らず)を4本お持ちでしたが、親知らずを抜歯せずに残しておきたいというご本人の強い希望がありました。そのためディスキングを活用しつつ、マウスピース型矯正(インビザライン)での移動のための時間をしっかり確保することにしました。
また歯列矯正では歯を移動させる治療期間の設定が重要です。患者さんは早く治療を終えたいとお考えになるでしょうが、歯の移動は歯根膜に対して力をかけた側の骨が吸収されていることで移動し、反対側の骨が再生(添加)されることで行われます。過度なスピード矯正はもってのほかで科学的根拠に基づいた治療計画が必要です。今回はマウスピース型矯正(インビザライン)を選択し約3年の動的期間、保定期間6ヶ月ののち、顎関節症治療とする治療計画をお伝えし治療がスタートしました。
<アタッチメント利用による臼歯部の移動



マウスピース型矯正(インビザライン)は簡単な矯正しか適応しないと思ってらっしゃる患者さんが多いのですが、現在はアタッチメントと呼ばれる部品を一時的に歯に接着して固定源とすることで、マウスピースでも複雑な3次元的コントロールが可能になりました。
写真に見えるのがアタッチメントで一般的に「ポッチ」と言われます。今回はこのアタッチメントによる3次元的な排列とともに移動スペースを確保するためのディスキングを行っています。

このディスキングは正しくは、IPR(Inter Proximal Reduction)といい、歯のエナメル質部分を影響がない範囲で削る手法です。通常エナメル質は 1mm〜2mm の厚さをもっていますので、ここから 0.25mm 程度を削ることで1本あたり左右 0.5mm のスペースをつくることができます。エナメル質を僅かに削るだけなので虫歯や知覚過敏の心配はありません。初診時と比較すると特に上顎左2番の低位口蓋側転位が改善され、非抜歯によるマウスピース型矯正(インビザライン)でもこのように歯並びを整えることがお分かり頂けるとおもいます。

最終調整





約3年の動的期間が経過しました。ご覧のように上顎は理想的な歯列弓に沿って歯が並んでいます。大きく舌側に傾斜していた上顎左2番の低位口蓋側転位も正しい位置に排列しています。下顎も治療計画通りに進み、左下1番の捻転も移動が進んでいることがわかります。この後マウスピースの装着を続けて頂き、治療期間の終了後に約6ヶ月の保定期間となります。これは矯正治療で骨が再生(添加)された部分を安定させて後戻りをさせないために必要な期間です。
顎関節症の根本原因であった噛み合わせと歯並びをマウスピース型矯正で治療したのち、DTRセラピーによる咬合調整で顎関節症を治療します。この患者さんは歯と歯ぐきをふくむお口のコンディションが良好であったことから、10代と若く将来への影響を考えて対処療法に頼らない根本治療として矯正治療を選択しました。このように顎関節症治療とひとくちで言っても様々な選択肢があります。
名取歯科医院ではデンタルドックと呼んでいますが、大切なのはどんな治療であっても診査診断と患者さんとのコミュニケーションです。
治療費
| 精密検査 | ||
| デンタルドック費用 | ¥55,000 | |
| 歯のクリーニング/PMTC | ¥11,000 | |
| 合計 | ¥66,000 | |
| インビザライン | |
| インビザライン フルセット (治療期間 12ヶ月~24ヶ月) | ¥1,001,000 |
| 矯正検査費用 | ¥33,000 |
| 保定装置 | ¥66,000 |
| 合計 | ¥1,100,000 |
| デンタル咬合調整 | ||
| DTR Therapy (デジタル機器を用いた咬合調整法) ※本調整(チェック2回まで)・咬筋への筋弛緩作用のある製剤注射1回を含む |
¥198,000 | |
| 合計 | ¥198,000 | |
紹介した治療内容
症例紹介について
治療費について
すべての治療が保険外診療となります。価格と税率は治療当時のものとなります。治療前にデンタルドック(55,000円)が必要です。
治療リスクについて
治療中に一時的な咬合痛や冷温水痛、若干の歯肉の腫れ、発赤などを生じることがあります。また仮歯の時期には仮歯の脱離や破損の可能性、舌感などに違和感を感じることがありますが、本歯に移行するまでに通常消失します。
※すべて症例による違いや個人差があります。
掲載写真について
すべて名取歯科医院での臨床写真で、見た目を変える画像加工は行っておりません。またメーカーや学会誌からの転用はございません。掲載写真は実際に治療を行った患者さんの同意を得て、治療を検討する方への情報提供と啓発を目的として公開しています。
噛み合わせと定期検診について
審美治療の終了後は、必ず定期検診をお受け頂きます。これは顎関節を含む噛み合わせの安定を出来るだけ長期にわたって維持して頂くためです。噛み合わせの安定は治療箇所の長期予後(長持ちする治療)におして不可欠です。
メタルフリーとマイクロスコープについて
金属を使用しないセラミックス、ファイバー、レジンによるメタルフリーの審美修復治療です。マイクロスコープ(歯科用顕微鏡)を使った拡大視野による治療により修復物の適合性を高めることは虫歯や歯周病の再発抑止に有効です。



治療前
