患者さんは50代の男性で、他医院で根管治療のうえでブリッジをした前歯のぐらつきをお悩みとして名取歯科医院にご来院され、約1年6ヶ月で治療を終えました。 他医院で行った根っこの治療(根管治療)の不備が原因で根尖病巣を発症しており、それが放置された結果、骨吸収が進んで結果としてブリッジを支える歯が安定しない状況になっていました。患者さん自身はインプラントに消極的でしたが骨の無い状況からブリッジでの治療は難しく、インプラントか(他医院での)部分入れ歯という選択肢しか残っていない旨をお話ししました。 骨造成と歯ぐきの再生を進めインプラントの埋入を経て、前歯部のセラミック連結歯によって審美歯科治療を終えました。
治療ステップ

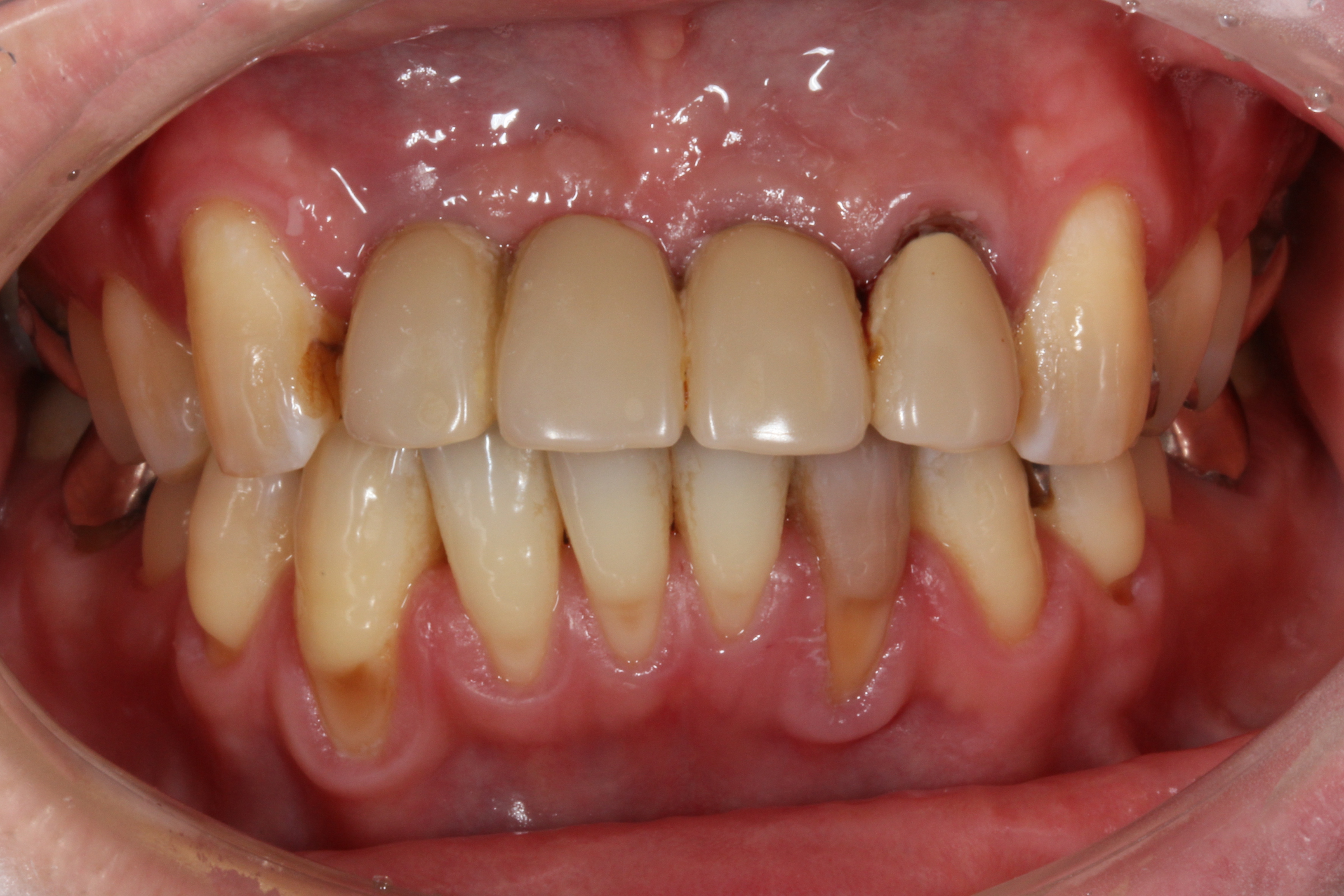
初診時
他医院で根管治療をした前歯 (左上1番2番、右上2番)に根尖病巣が再発し、ブリッジが動揺(ぐらぐら)して噛めないというお悩みでご来院されました。見た目では解りませんが、レントゲンを撮影すると根尖病巣が進行して上顎の骨吸収(骨が溶ける)まで進行している状態でした。

現状と治療計画


主訴として痛みを訴えられた前歯 (左上1番2番、右上2番)は、他医院で根管治療を受けセラミックによるブリッジで治療されていたもののレントゲン撮影・CT撮影をすると、根尖病巣と骨吸収が認められました。できれば自分の歯を残したいというご希望でしたが、根尖病巣が進行して保存できない状態まで悪化している点、また支えとなる顎の骨が溶けて土台としての機能を果たすことが出来ないため抜歯せざる得ない状況と診断しました。
他医院(名取歯科医院では入れ歯治療をしないため)で部分入れ歯の治療をするか、溶けてしまった骨を再生治療で復元したうえで、インプラント治療とセラミックによって前歯の機能と審美性を治療する計画をお話しした結果、インプラントをご希望され治療がスタートしました。

精密検査


一見すると歯ぐきが腫れている程度に見えますが、実際は動揺も大きく柔らかい食べものでも難儀するような状況でした。レントゲン写真でも根管治療をした3本の歯(1本は抜歯済)の周りに骨が無いことがわかります。


CT で確認すると歯を残すことが困難であることがお分かり頂けると思います。根管治療の不備によって大きく骨吸収が進み土台となる上顎の骨が無くなっていいます。

骨造成(骨の再生)手術
自家骨(上顎結節から骨と結合組織)を採取して、骨補填剤(ガイストリッヒ バイオオス)を混合して失ってしまった上顎に充填していきます。この患者さんの場合は根尖病巣の進行に伴う欠損が大きかったためチタンメッシュも併用して上顎の形成と機能的な強度の確保を行いました。充填した自家骨と骨補填剤が自分の上顎の骨と生体的な結合するまで約8ヶ月を要するため、その間はテック(仮歯)仮歯でお過ごし頂きます。


インプラントの埋入手術
約8ヶ月後に骨造成部分の生体的安定を確認したのち、インプラントの埋入を行いました。インプラントが骨と結合するまで約4ヶ月を隙間を埋めるためのテック(仮歯)でお過ごし頂きます。

インプラントの確認とプロビジョナルの印象
約4ヶ月後にインプラントの生体的結合を CT ・レントゲンで確認します。インプラントの確認と同時に噛み合わせ調整用プロビジョナル(精密な仮歯)の印象をおこないました。




プロビジョナル(精密な仮歯)のセット
前回印象したプロビジョナル(精密な仮歯)をセットします。これまでの仮歯と異なりセラミックの最終的な歯と同じ形をしています。この仮歯を使用して頂く事で周囲の歯や歯ぐき、筋肉が徐々に馴染むと同時に噛み合わせを含めた微調整を行ないます。半年弱プロビジョナルで生活頂きます。これは外科手術や人工関節を体内に入れた時に行うリハビリと同じように、人工物と生体をお口の中で馴染ませる大切なプロセスで欠かせないものです。

セラミックの上部構造を最終セット


噛み合わせの調整をしていた仮歯をジルコニアセラミッククラウンを連結した上部構造に置き換え、約1年半の審美歯科治療を終えました。
治療後、約4年経過しました。インプラントもしっかり機能し噛み合わせも良好に維持され、再生した歯ぐきの予後も形・色ともに良い状態を保っています。

治療費
| 精密検査 | ||
| デンタルドック費用 | ¥54,000 | |
| 歯のクリーニング/PMTC | ¥10,800 | |
| 合計 | ¥64,800 | |
| 骨造成(骨の再生)手術 | |||
| 抜歯(左上1番2番、右上2番) | ¥66,000 | ||
| 仮歯 | ¥21,600 | ||
| 骨造成術(複雑な場合) | ¥220,000 | ||
| 合計 | ¥307,600 | ||
| インプラントの埋入手術 | |||
| インプラント手術 | ¥220,000 | 2 | ¥440,000 |
| インプラントガイド | ¥55,000 | 1 | ¥55,000 |
| 合計 | ¥495,000 | ||
合計¥132,000
| プロビジョナル(精密な仮歯)のセット | |||
| インプラント用プロビジョナル(仮歯) | ¥55,000 | 2 | ¥110,000 |
| ダミー(仮歯) | ¥11,000 | 2 | ¥22,000 |
合計¥888,000
| セラミックの上部構造を最終セット | |||
| ジルコニアセラミック | ¥200,000 | 4 | ¥800,000 |
| セラミッククラウンの連結(スクリュータイプ) | ¥88,000 | 1 | ¥88,000 |
紹介した治療内容
症例紹介について
治療費について
すべての治療が保険外診療となります。価格と税率は治療当時のものとなります。治療前にデンタルドック(55,000円)が必要です。
治療リスクについて
治療中に一時的な咬合痛や冷温水痛、若干の歯肉の腫れ、発赤などを生じることがあります。また仮歯の時期には仮歯の脱離や破損の可能性、舌感などに違和感を感じることがありますが、本歯に移行するまでに通常消失します。
※すべて症例による違いや個人差があります。
掲載写真について
すべて名取歯科医院での臨床写真で、見た目を変える画像加工は行っておりません。またメーカーや学会誌からの転用はございません。掲載写真は実際に治療を行った患者さんの同意を得て、治療を検討する方への情報提供と啓発を目的として公開しています。
噛み合わせと定期検診について
審美治療の終了後は、必ず定期検診をお受け頂きます。これは顎関節を含む噛み合わせの安定を出来るだけ長期にわたって維持して頂くためです。噛み合わせの安定は治療箇所の長期予後(長持ちする治療)におして不可欠です。
メタルフリーとマイクロスコープについて
金属を使用しないセラミックス、ファイバー、レジンによるメタルフリーの審美修復治療です。マイクロスコープ(歯科用顕微鏡)を使った拡大視野による治療により修復物の適合性を高めることは虫歯や歯周病の再発抑止に有効です。



治療前
治療後
