矯正治療の本質
ちょうど一年ほど前のこととなりますが、マウスピース矯正詐欺が一斉に報道され日本中に広がったことを覚えていらっしゃる方もいると思います。その中で気になったのが、インビザラインによるマウスピース矯正があたかも悪であるかのような批判でした。
しかし問題はどのような治療方法だったかではなく、どれだけ患者さんに合わせて綿密な計画を立て、治療を行うかではないかと名取歯科医院は考えます。ワイヤー矯正であろうと、マウスピース矯正であろうと、適切に治療すれば十分な結果を得ることができます。
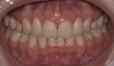
こちらは名取歯科医院で、4本抜歯が必要となったマウスピース型矯正治療の写真です。




矯正治療においても診査診断と手段の選択が、重要と名取歯科医院では考えています。更に大切なのは患者さんとのコミュニケーションで、分かりやすく治療方法を理解し、ご納得頂いた上で歯科治療を進めれば、インビザラインによるマウスピース型矯正は優れた矯正治療の結果に繋がります。



