金属を使わないセラミッククラウン
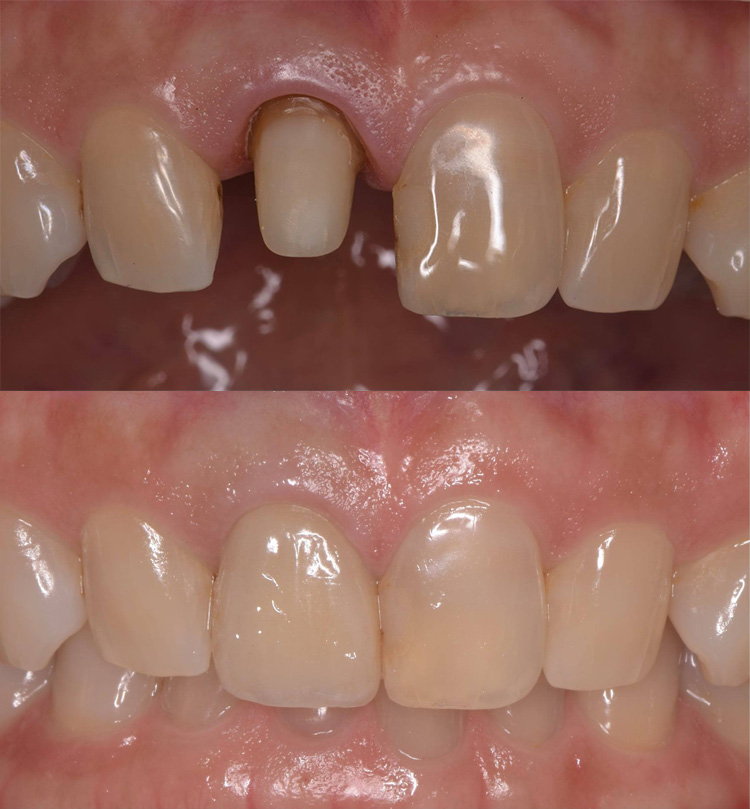
名取歯科医院で審美歯科治療に使用する白い歯は、ジルコニアセラミッククラウンです。名取歯科医院では金属はお口の中にまったく使いません。特に昨今、歯科金属アレルギーが広く知られるようになって来ました。最大限アレルギーリスクを避けるようにするために目立つ前歯や力のかかる奥歯では、ジルコニアを土台にした自然で透明感のあるセラミッククラウンを多く採用します。
白くて綺麗なセラミッククラウンを長く保たせるためには、正確な咬み合わせを図ることが重要です。
神経を他医院で除去した無髄歯の患者さんの場合は、根管治療の後にファイバー(柔軟なプラスチック)で白くて丈夫な土台をつくり、その上にセラミッククラウンで治療をしました。土台づくりと共に歯ぐきの治療と再生もおこなうことで、治療した歯とご自身の歯の調和でとれ綺麗な口もとになります。




